Diabetes is a chronic disease that prevents the body from making or using insulin.

Diabetes

How Diabetes Eyes

Diabetes is a chronic disease that prevents the body from making or using insulin. Diabetes and its complications can affect many parts of the eye. It can cause changes in nearsightedness, farsightedness, and premature presbyopia (age-related farsightedness). It can result in early cataracts, glaucoma, paralysis of the nerves that control the eye muscles or pupil, and decreased corneal sensitivity. According to Diabetes Canada, diabetes is the leading cause of blindness in Canada; however, while the disease does increase the risk of blindness, most people with diabetes only experience minor eye disorders.

Eye Exams

Early Detection of Diabetes Through Eye Exams

Because of the ocular health risks associated with diabetes, annual eye exams are crucial. During an eye exam, an optometrist can detect changes in the eye due to diabetes. These changes in the eye are often the first indication that a person may have the disease, or that a person with diabetes does not have adequate blood sugar control.

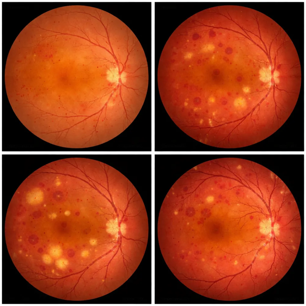
Retinopathy

Diabetic Retinopathy

The retina is located at the back of the eye. When you look at something, each eye receives light rays which land on your retinas as images and are then passed along the optic nerve to the brain where they are interpreted as a clear picture. Retinopathy occurs when there is a weakening or swelling of the tiny blood vessels in the retina, which can result in blood leakage, the growth of new blood vessels, and other changes. Diabetic retinopathy can affect people with both type 1 and type 2 diabetes.

Stages of Diabetic Retinopathy

Stages of Diabetic Retinopathy

Diabetic retinopathy can range from a mild form known as mild nonproliferative retinopathy to severe nonproliferative retinopathy, and in some cases can advance to proliferative retinopathy. The word "proliferate" means to grow or multiply rapidly. The difference between nonproliferative and proliferative retinopathy is in the growth (or proliferation) of new blood vessels that shouldn't be there. In proliferative retinopathy, new blood vessels grow in attempt to feed damaged tissue that needs oxygen. These new blood vessels are weak and are often the precursor to more significant complications such as blood or fluid leakage, or detached retina.

Macular

Macular Edema

The macula is the central and most sensitive part of the retina, providing the highest resolution for your central vision. The macula is used for reading, driving, and recognizing faces. Macular edema is a condition that can occur at any stage of diabetic retinopathy. It occurs when fluid leaks into the macula, causing swelling and damage.

Symptoms of Diabetic Retinopathy

Symptoms of Diabetic Retinopathy

In the early stages, retinopathy is often without symptoms, so regular eye exams are the best way to detect changes. Visual symptoms of diabetes include fluctuating or blurring vision, occasional double vision, dark spots in the visual field, and flashes and floaters within the eyes.

Prevention

Prevention

Stable blood sugar reduces the risk of developing diabetic retinopathy. It is also important to monitor blood pressure and blood cholesterol. Annual eye exams can help identify retinopathy as early as possible, so that treatment can minimize damage. Regular visits to a physician are important, as well as following instructions about diet, exercise and medication.

Treatment

In the early stages, diabetic retinopathy is monitored carefully through eye health examinations. Treatment is not usually recommended during nonproliferative stages of retinopathy. Proliferative retinopathy may be treated with injections of anti-VEGF therapy, laser therapy, or surgery. In advanced stages of retinopathy, treatment may be needed for other ocular complications.

Macular edema must be treated, regardless of whether it occurs in a proliferative or nonproliferative stage of retinopathy. It may be treated with laser therapy or intraocular injections.

Early detection and monitoring of diabetic retinopathy is crucial, as treatment is much more likely to be successful at an early stage. People with diabetes should have annual eye exams, unless more frequent evaluations have been recommended.

More Information

For more information about diabetes, visit the Diabetes Canada website.